まり歯科

〒892-0842

鹿児島県鹿児島市東千石町10-14 danken COFFEE 2F

TEL/FAX

099-225-9977

バリアフリー/エレベーター完備

駐車場サービス券駐車場サービス券

●天文館いわさきパーキング
●セイワパーク天文館

審美歯科

健康できれいな歯を取り戻しましょう。

【健康保険外治療】

ポーセレン冠(メタルボンド)

天然歯とほとんど見分けがつかない程きれいにできます。変色もありません。


保険の差し歯

オールセラミックの差し歯


 

 

 

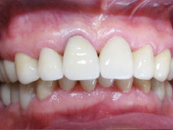
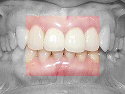
咬み合わせがすり減り低くなっていて、下の前歯が見えませんでしたが  咬み合わせを上げてポーセレン冠を装着し、きれいな口元になりました。

 

ポーセレンインレー

冠、インレーの金属の色が気になる方が自然な美しさを取り戻します。

ゴールドインレー

白い歯に変わりました

ラミネートベニア

歯牙の表面を少し削って、セラミックのシェルを貼り付ける方法です。

中切歯:メタルボンド
側切歯:矮小歯
 
中切歯:明るく透明感が出ました。
側切歯:綺麗な大きさになり、貧弱な感が一掃されました。

ハイブリッド冠

セラミックスとプラスティックを複合した新素材で、天然歯に近い色調を表現できます。

ハイブリッドインレー