インプラント
ホワイトニング
歯周病
歯科矯正
各種義歯
訪問診療
審美歯科
睡眠時無呼吸症候群
歯ぎしり
スポーツマウスガード
顎関節症
歯科検診
口腔機能低下症
病院歯科連携
まり歯科
〒892-0842
鹿児島県鹿児島市東千石町10-14 danken COFFEE 2F
TEL/FAX
099-225-9977
駐車場サービス券
●天文館いわさきパーキング ●セイワパーク天文館
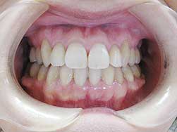
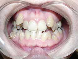
歯並びをきれいに治す治療です。
【健康保険外治療】
一級叢生
八重歯がきれいになりました。