当院では、インプラント手術を安全で確実に行うため、CT画像解析をしています。
顎の骨の厚さや強さをCT検査で解析し、インプラントを植立する位置を コンピューターシュミレーションして決定します。
まり歯科
〒892-0842
鹿児島県鹿児島市東千石町10-14 danken COFFEE 2F
TEL/FAX
![]()
駐車場サービス券
●天文館いわさきパーキング
●セイワパーク天文館

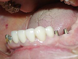
インプラントとは人工歯根のことです。
失ってしまった自分の歯の替わりに、人工の歯根を顎の骨に埋め込み、その上に人工の歯を作製して、咬み合わせを回復する治療法です。
【健康保険外治療】
当院では、インプラント手術を安全で確実に行うため、CT画像解析をしています。
顎の骨の厚さや強さをCT検査で解析し、インプラントを植立する位置を コンピューターシュミレーションして決定します。
CT画像
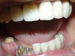
入れ歯を使用していて、うまく咬めないのが悩みでした。
何でも咬めるようになったと喜んでいらっしゃいます。